
La psoriasis es una enfermedad crónica de la piel caracterizada por un curso ondulatorio. Muy a menudo, la psoriasis se manifiesta como una lesión cutánea específica que puede localizarse en cualquier zona de la piel.
La psoriasis inicial no siempre se puede reconocer de inmediato. Sin embargo, esto es posible si se presta atención a los síntomas característicos a tiempo. Si consulta a un dermatólogo de manera oportuna, puede ralentizar y detener el desarrollo de la erupción. Por tanto, es importante saber qué signos indican la presencia de patología.
Causas de la psoriasis. Fase inicial
No hay datos fiables sobre este tema. La psoriasis no es una enfermedad completamente comprendida. Sin embargo, existen factores conocidos que pueden contribuir a su aparición:
- predisposición genética (entre los factores más comunes);
- Disfunción del sistema inmunológico (a menudo también conduce a la aparición de psoriasis);
- problemas endocrinos;
- infección estreptocócica reciente (dolor de garganta)
- la presencia de enfermedades crónicas (especialmente inflamatorias);
- malos hábitos como la adicción al alcohol y al cigarrillo;
- estrés frecuente.
La psoriasis puede ocurrir en personas de todos los géneros y edades. Sin embargo, las personas mayores de 25 a 30 años son más susceptibles.
Síntomas de la etapa inicial.
En las primeras etapas de la psoriasis, los síntomas son leves. Sin embargo, es posible que los notes.
Para entender cómo se desarrolla la psoriasis, debes prestar atención a los siguientes síntomas típicos:
- Aumento de la sequedad y descamación de la piel. Una persona experimenta molestias en la piel de los codos, las rodillas, la zona lumbar y el cuero cabelludo. Sin embargo, estas áreas pueden variar de un caso a otro.
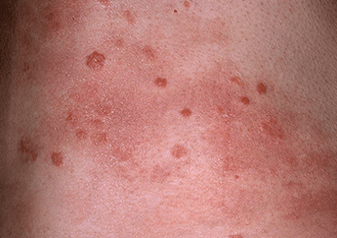
- Presencia de erupciones cutáneas específicas. Típico de la psoriasis son las pequeñas pápulas de color rojo rosado (elementos de erupción planos y ligeramente elevados por encima del nivel de la piel) con límites claros que se fusionan gradualmente entre sí.
- escamas en la superficie de la erupción. Son de color plateado o blanquecino. Se eliminan fácilmente de las erupciones, pero esto puede provocar la formación de grietas o la aparición de sensaciones subjetivas desagradables.
En algunos tipos de psoriasis ("pustulosa"), la erupción puede aparecer no en forma de manchas, sino en forma de pequeñas formaciones convexas con contenido purulento en su interior. En la foto de la forma inicial de psoriasis puedes ver cómo se manifiestan las diferentes formas de psoriasis y qué síntomas tienen.
En la psoriasis ungueal, la erupción afecta principalmente a la placa. En este caso, los primeros signos son los siguientes:
- la formación de pequeñas depresiones en las uñas (el síntoma del “dedal”)
- Cambios en la estructura de la placa ungueal: la uña se vuelve más gruesa y quebradiza
- Cambio en el color de la placa ungueal: la uña puede adquirir un tono amarillo, aparecen manchas de color rojo anaranjado debajo de la uña.
- engrosamiento de la piel debajo de la uña;
- holgura del panel y descamación (no siempre);
- pequeñas líneas longitudinales oscuras debajo de la placa ungueal (síntoma no específico, resultante del sangrado debajo de la placa ungueal)
- Enrojecimiento del orificio de la uña.
Las fotografías de los síntomas de las primeras etapas de la psoriasis le ayudarán a navegar.
Los primeros síntomas son bastante vagos y no se notan claramente. Además, son similares a los síntomas de algunas otras enfermedades dermatológicas, lo que puede dificultar el diagnóstico. Por esta razón, es extremadamente importante programar una cita de inmediato en el hospital para obtener un diagnóstico más preciso.
Todas las etapas de la psoriasis
Hay tres etapas clave en el desarrollo de la enfermedad:
- Etapa inicial o progresiva. Se forman numerosas pápulas pequeñas en la piel. Un rasgo característico de esta etapa de la enfermedad es la aparición de erupciones en áreas de lesión cutánea reciente; Puedes ver cómo se ve la psoriasis en las primeras etapas en la foto.
- Estacionario. Las erupciones se vuelven más grandes y comienzan a fusionarse, formando grandes placas con contornos poco claros. No aparecen nuevos elementos de la erupción, pero se forman numerosas escamas en la superficie de la erupción.
- Final. La erupción disminuirá y desaparecerá gradualmente por sí sola. Puede quedar una ligera pigmentación que desaparece por sí sola con el tiempo, o una zona de color más claro en comparación con la piel sana circundante.

A menudo surge la pregunta: "¿La psoriasis pica en las etapas temprana y final?" En la psoriasis, la picazón es un síntoma poco característico; puede que no exista.
Con cada exacerbación, la enfermedad avanza sucesivamente a través de las tres etapas. Sin embargo, si el tratamiento se inicia justo al comienzo de la primera etapa, se puede prevenir la progresión de la erupción.
Para la mayoría de las personas, los síntomas ocurren en ciclos. Por lo general, persisten durante varias semanas durante el siguiente brote y luego se debilitan y desaparecen gradualmente. La forma de la psoriasis incipiente determina cómo se ven las fotos y los síntomas reales
Tratamiento de las etapas iniciales de la psoriasis.
Cuando note los primeros signos sospechosos, debe comunicarse con un dermatólogo.
La psoriasis en etapa temprana requiere un tratamiento farmacológico mínimo. Principalmente externo.
Normalmente utilizado:
- Ungüentos y cremas no hormonales. Constituyen la base de la terapia porque pueden usarse en cualquier etapa de la enfermedad, incluso durante la remisión. Tienen un efecto suave y, a menudo, no tienen efectos secundarios. Alivian la descamación, el enrojecimiento, las sensaciones subjetivas y ralentizan los procesos inflamatorios.
- Ungüentos y cremas hormonales. En las primeras etapas de la enfermedad, generalmente se usan para inflamación severa o una forma especial de psoriasis (exudativa). Estos medicamentos pueden hacer frente rápidamente a la inflamación en el área de la piel afectada. Sin embargo, los ungüentos y cremas hormonales no son adecuados para un uso prolongado, ya que pueden provocar efectos secundarios si se utilizan durante mucho tiempo. Las fotografías ilustran mejor cómo comienza la psoriasis, tanto en adultos como en niños.
- Geles y cremas hidratantes. Calma y suaviza la piel. Puede utilizarse como cuidado adicional.
- Complejos vitamínicos. Una medida adicional para apoyar la fuerza y la resistencia del cuerpo a las enfermedades. La vitamina A se utiliza principalmente para la psoriasis porque afecta la división celular de las células de la piel y el proceso de descamación. A medida que avanza la enfermedad, generalmente no se prescriben complejos multivitamínicos.
- Procedimientos fisioterapéuticos. Particularmente eficaz en la fase inicial. Con mayor frecuencia se prescribe fototerapia (UVB o PUVA), así como irradiación con excímeros con rayos UV y láser.
En la mayoría de los casos, los medicamentos los prescribe un médico. Se pueden usar varios medicamentos en combinación. Si los síntomas son leves, se pueden evitar los medicamentos orales y sólo se pueden utilizar preparados no hormonales de aplicación externa.
Prevención de las etapas iniciales de la psoriasis.
Las medidas preventivas ayudan a retrasar las manifestaciones de la enfermedad y, por lo tanto, aumentan la duración de la remisión. Si sigue las reglas de prevención directamente durante un ataque, pueden ayudar a aliviar los síntomas y acelerar la recuperación.
Las medidas preventivas importantes son:
- Eliminación del estrés. O su minimización. El estrés perjudica significativamente el funcionamiento del sistema nervioso, lo que afecta gravemente al estado general del cuerpo. Para gestionar mejor tu estado emocional, puedes apuntarte a psicoterapia. Las lecciones pueden realizarse individualmente o en grupos.
- Dieta. La dieta debe ser sana, equilibrada y contener alimentos hipoalergénicos. La base del menú son las proteínas, las verduras crudas y los productos lácteos fermentados. Debes evitar la comida chatarra como los dulces y los productos horneados. Los alimentos fritos y ahumados, los alimentos picantes y demasiado salados y los alimentos enlatados tampoco son bienvenidos. En Internet se pueden encontrar fotografías de psoriasis al inicio de la enfermedad y después de una dieta.
- Beba muchos líquidos. Se suele recomendar beber de 1,5 a 2 litros de agua purificada al día. Sin embargo, es importante centrarse en sus sentimientos y no seguir ciegamente las recomendaciones.
- Complejos vitamínicos. Es aconsejable que un médico le recete vitaminas después de las pruebas.
- Modo. Comer, despertarse y acostarse debe seguir un horario. Esto facilita que el cuerpo mantenga una actividad adecuada. Es recomendable levantarse temprano y acostarse.
- Aire fresco. Es importante caminar al aire libre todos los días. Reduce el estrés y en general es beneficioso para el organismo.
- Protección de la piel. Conviene utilizar cremas emolientes e hidratantes con regularidad. Especialmente después de tratamientos con agua.
- Ropa y zapatos cómodos. Fabricado con materiales naturales y suaves. Los zapatos deben quedar bien y la ropa debe ser holgada.
- Consultas periódicas con un médico. Y exámenes. Esto le ayudará a controlar el estado de su cuerpo y aumentará la probabilidad de prevenir la psoriasis.
Así, las fotografías de los síntomas de la psoriasis cutánea en las etapas inicial y posterior muestran claramente las molestias de esta enfermedad. Por eso, vale la pena cuidar la prevención.
Es importante recordar que en la gran mayoría de los casos, la psoriasis se manifiesta como consecuencia de un estrés intenso. Por lo tanto, lo primero que es importante es garantizar un estado de ánimo y una rutina diaria armoniosos.

















